Bilateral renal cortical necrosis following abdominal surgery

Authors

  • MY Chothia Stellenbosch University and Tygerberg Academic Hospital, Cape Town
  • WD Bates 3Division of Anatomical Pathology, National Health Laboratory Services, Stellenbosch University and Tygerberg Academic Hospital, Cape Town
  • MR Davids Stellenbosch University and Tygerberg Hospital, Cape Town

DOI:

https://doi.org/10.21804/19-1-1483

Abstract

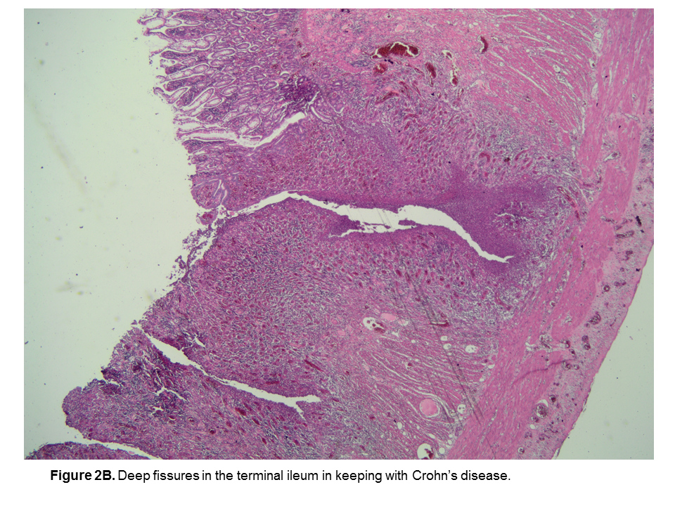
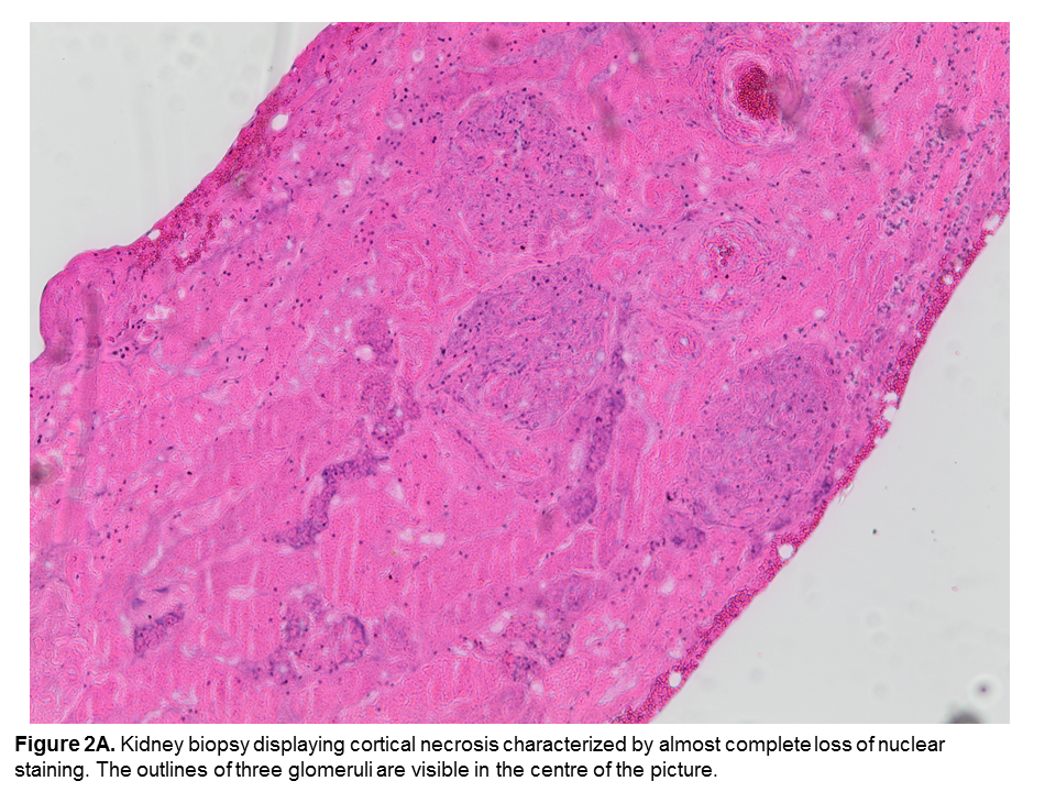
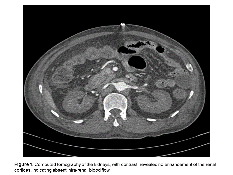
A 58-year-old patient developed complete anuria following elective abdominal surgery for an ileocaecal mass. Contrast-enhanced computed tomography demonstrated absent intra-renal blood flow and a kidney biopsy confirmed diffuse cortical necrosis. Histology of the ileocaecal mas displayed deep fissuring which was diagnostic of Crohn’s disease. Bilateral renal cortical necrosis (BRCN) is a rare complication of surgery but should be considered in any patient developing complete anuria. Since the disease is often associated with a coagulopathy, conditions predisposing to thrombosis should be sought. Inflammatory Bowel Disease (IBD) with surgical complications, as in this case, should be considered among the conditions which may predispose to BRCN.

Downloads

Download data is not yet available.

Downloads

Published

2017-01-06

How to Cite

Chothia, MY, WD Bates, and MR Davids. 2017. “Bilateral Renal Cortical Necrosis Following Abdominal Surgery”. African Journal of Nephrology 19 (1):14-16. https://doi.org/10.21804/19-1-1483.

Issue

Section

Case Reports